Descubre la nueva gama Pilopeptan: Ciencia e innovación al cuidado de tu cabello.

El pelo desde la ciencia

El pelo es una estructura filamentosa que crece desde los folículos pilosos, la parte viva dentro de la dermis, conectados al torrente sanguíneo. Además de su valor estético, cumple funciones protectoras (regulación térmica y frente la radiación solar) y sensoriales. Su salud es un reflejo visible de nuestra salud general.

¿De qué está compuesto?

El cabello está formado casi en su totalidad por queratina, una proteína estructural rica en azufre. Si los analizamos en detalle vemos que su composición contiene también lípidos, minerales y oligoelementos indispensables para su correcto crecimiento.

Proteínas

Principalmente queratina, compuesta por aminoácidos. Los aminoácidos azufrados como la cistina y la metionina son clave, ya que sus enlaces disulfuro aportan resistencia y forma al cabello.

Lípidos

Incluyen ácidos grasos, colesterol, ceramidas y escualeno, que contribuyen a la barrera protectora y al brillo natural.

Agua

Presente en cantidades variables, dependiendo del entorno y el estado del cabello. Aporta flexibilidad y elasticidad.

Otros

En menor cantidad, contiene melanina, responsable del color, minerales como zinc, hierro y selenio, esenciales para la integridad estructural y vitaminas del grupo B, esenciales para su crecimiento y fortaleza.

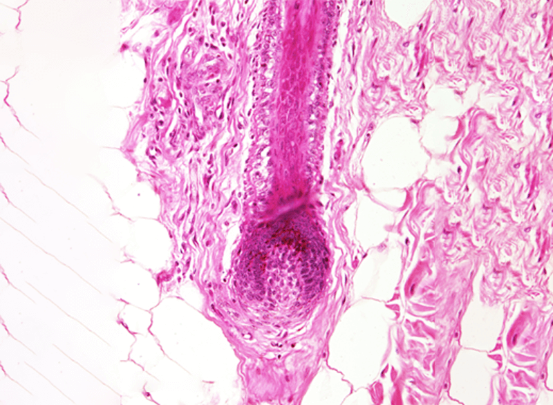
El folículo piloso

En la matriz extracelular del folículo piloso se encuentran también los proteoglicanos, con un papel regulador importantísimo del ciclo capilar.

El tallo piloso

Es la parte externa y visible del cabello. Aunque parezca un simple filamento, es una estructura compleja compuesta por tres capas que trabajan juntas para darle fuerza, brillo y protección.
La capa más externa, formada por células planas superpuestas como escamas de pez. Actúa como barrera protectora contra agentes externos (sol, calor, contaminación). Cuando se daña el cabello luce áspero, pierde brillo y se vuelve frágil.
Capa media y la más gruesa. Aquí se encuentran las hebras de queratina entrelazadas que dan resistencia mecánica al pelo y la melanina que le aporta el color.
Parte más interna del cabello. Representa solo el 20% y en algunos cabellos finos no siempre está presente.

Ciclo de crecimiento capilar

El cabello crece en ciclos continuos pasando por distintas fases:

Fase anágena
(crecimiento activo): dura de 2 a 7 años, determina la longitud del cabello.

Fase catágena
(transición): periodo breve
(2-3 semanas) donde se detiene el crecimiento.

Fase telógena (reposo/caída): dura unos 3 meses; al final, el cabello se desprende y el folículo reinicia el ciclo.

Ciclo de crecimiento capilar

El cabello crece en ciclos continuos pasando por distintas fases:

Fase anágena
(crecimiento activo):
dura de 2 a 7 años, determina la longitud del cabello.

Fase catágena
(transición):
periodo breve (2-3 semanas) donde se detiene el crecimiento.

Fase telógena
(reposo/caída):
dura unos 3 meses; al final, el cabello se desprende y el folículo reinicia el ciclo.

Un cuero cabelludo sano mantiene en fase anágena alrededor del 85-90% de los folículos capilares.
Una caída por renovación natural de unos 100 cabellos al día se considera dentro de la normalidad.

Lo que opinan nuestras usuarias

Lucía García
Lucía García
A los 10 días noté mucho menos cabello en la ducha.
Núria Serra
Núria Serra
Volvió el volumen que había perdido en los últimos meses
Nerea Aramburu
Nerea Aramburu
No creía que funcionara tan rápido. Me devolvió la seguridad
Mercè Soler
Mercè Soler
Es un alivio encontrar un producto que realmente cumple lo que promete
Sofía López
Sofía López
Después de probar todo durante meses, con Pilopeptan® finalmente veo resultados.
Valeria Sánchez
Valeria Sánchez
Me lo recomendó mi dermatólogo y realmente funcionó.

FAQs

En Pilopeptan®, nuestra ciencia y tecnología se construyen sobre un pilar fundamental: la colaboración con profesionales sanitarios de primer nivel. Garantizamos esta sinergia a través de alianzas estratégicas con dermatólogos tricólogos, farmacéuticos y otros especialistas que están en contacto directo con las necesidades reales de los pacientes. Este modelo nos permite desarrollar soluciones innovadoras y altamente efectivas, como Pilopeptan® Woman y Pilopeptan® Intensive, asegurando que cada producto responda a las necesidades reales del cabello y uñas en momentos clave.Nuestra innovación nace de este diálogo constante entre la investigación de laboratorio y la experiencia clínica.

La experiencia de profesionales como la Dra. Carolina Palacio es muy importante para Pilopeptan® y el desarrollo de nuestra gama de productos para el cuidado del cabello y las uñas. Su amplio conocimiento en patologías, su contacto directo con los pacientes y su participación activa en la investigación nos permiten ir más allá de la teoría. La Dra. Palacio, co-autora de nuestra última innovación, Pilopeptan® Woman Proteokel, aporta una visión clínica invaluable que guía el diseño de nuestras fórmulas. Esto asegura que los productos de Pilopeptan® no solo sean avanzados científicamente, sino también prácticos y eficaces en el día a día.

El hecho de que haya estudios clínicos y evidencia científica detrás de los productos Pilopeptan® es fundamentalporque ofrece una garantía de eficacia, seguridad y confianza. Significa que las promesas del producto están respaldadas por datos rigurosos obtenidos en investigaciones controladas. Esto es especialmente relevante en el cuidado del cabello y las uñas, donde los resultados requieren tiempo, dedicación y una inversión personal significativa. Al elegir Pilopeptan®, eliges una solución basada en la ciencia y la tecnología, que ha demostrado sus resultados, como la mejora visible en solo 15 días en el caso de Pilopeptan® Intensive.

En cuanto a si es mejor utilizar productos 100% naturales, la respuesta es que no necesariamente. Aunque los ingredientes naturales pueden ser beneficiosos, la ciencia y la tecnología permiten aislar, purificar y optimizar los principios activos (sean naturales o sintéticos) para lograr la máxima eficacia y estabilidad. Un producto formulado científicamente, como los de Pilopeptan®, garantiza la concentración adecuada de cada ingrediente, la pureza y la capacidad de penetrar donde es necesario para obtener resultados reales, superando en muchos casos a las alternativas puramente naturales en términos de rendimiento y fiabilidad. Nuestro enfoque combina lo mejor de la naturaleza con el rigor científico para ofrecer soluciones avanzadas.